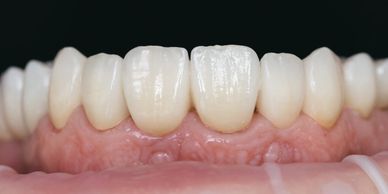
Porselen lamine ve gülüş tasarımı uygulamalarında en sık kullanılan materyal güçlendirilmiş cam seramikler ve zirkonyadır.
Zirkonya dikkatli çalışılması gerek hassas bir materyaldir.Üretim sürecinde CAD/CAM teknolojileri kullanılır ve üretim sonrasında da laboratuvarda hatasız işlenmesi gerekir. Ancak bu şekilde istediğimiz estetik, dayanıklılık ve uzun dönem başarıya ulaşabiliriz.
https://www.ivoclar.com/tr_tr/products/digital-processes/prime-zirconia

Çay,kahve,sigara gibi dış etkenlerin yanı sıra bazen dişlerin kendi rengi de oldukça koyu olabilir. Özel olarak aktive edilen jeller sayesinde dişlerin rengini güvenle istediğimiz açmak mümkündür. Beyazlatma işlemi sonrası dişlerde renkleşmeye sebep olacak gıdaların tüketiminden en az 1 hafta kaçınılmalıdır.
Diş beyazlatma klinikte 1 saat gibi kısa bir sürede yapılabileceği gibi,evde daha düşük konsantasyonlu jellerle de yapılabilir.Bazı vakalarda iki tekniği kombin ederek kullanmamız gerekebilir

Gülme hattındaki asimetrilerin, koyu renkli veya formu bozuk dişlerin tedavisinde Dijital Gülüş Tasarımı ön görülebilir bir estetiğe birkaç gün içinde kavuşabilmemizi sağlar.
Her gülümsemenin kişiye özel olduğu unutulmadan uygun materyal ve teknik kullanılarak gülüş değişimlerini yaratmak mümkündür.
Gülüş Tasarımında kullandığımız bazı uygulamalara aşağıdaki linkten ulaşabilirsiniz.Bu özel yazılımlara yüklediğimiz fotoğrafları yapay zeka ile canlandırarak dişlerinizde herhangi bir işlem yapılmadan önce farklı form,uzunluk ve renkte dişlerinizin nasıl görüneceğini simüle etmek mümkündür.
Web sitesi trafiğini analiz etmek ve web sitesi deneyiminizi optimize etmek amacıyla çerezler kullanıyoruz. Çerez kullanımımızı kabul ettiğinizde, verileriniz tüm diğer kullanıcı verileriyle birlikte derlenir.